1: チンしたモヤシ ★ 2018/12/12(水) 18:01:51.31 ID:CAP_USER9
水道水で鼻うがいをしていた女性、脳を食べるアメーバに感染して死亡
author George Dvorsky – Gizmodo US ( 岡本玄介 )
https://www.gizmodo.jp/2018/12/rare-brain-eating-amoeba-kills-woman.html
[原文]
https://gizmodo.com/rare-brain-eating-amoeba-kills-woman-who-filled-her-net-1830940128
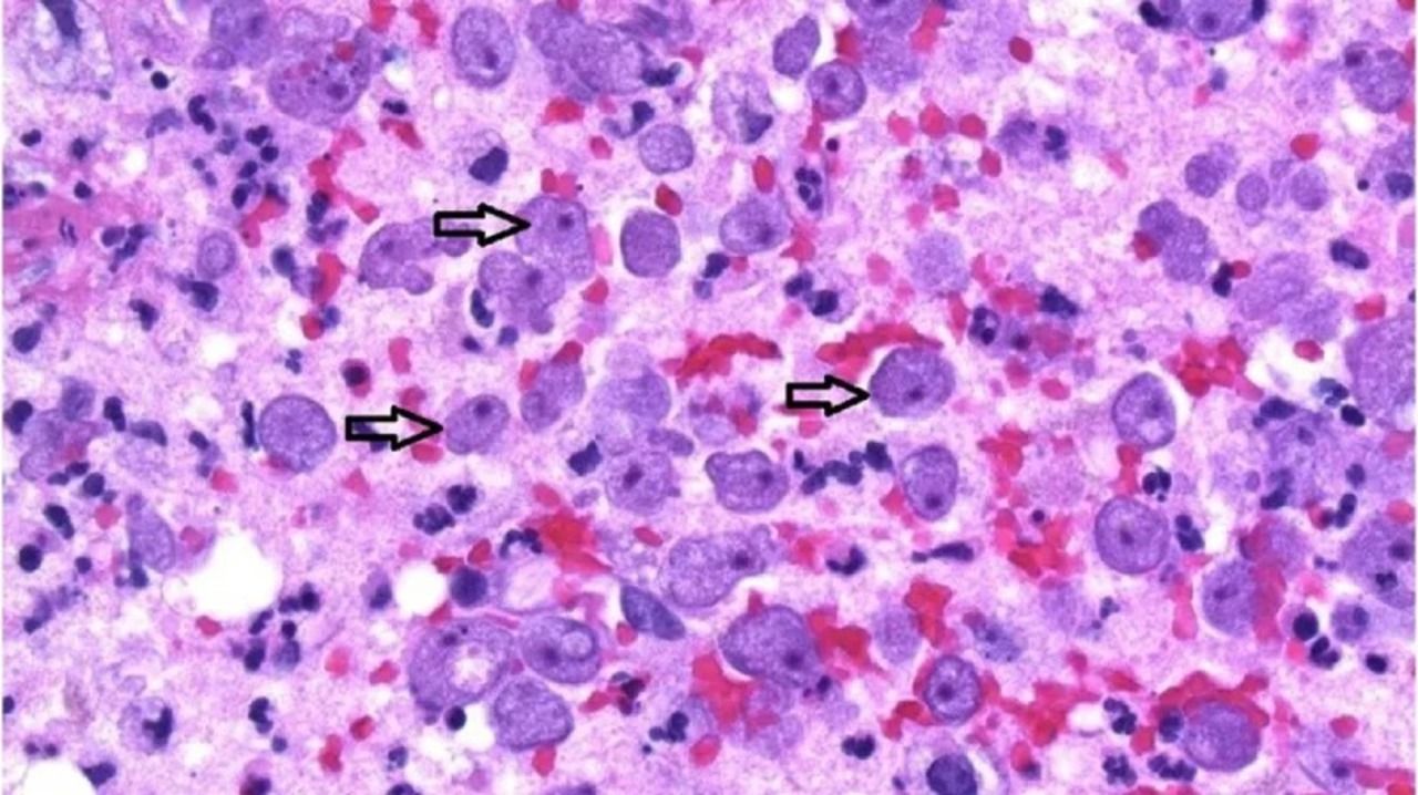
脳喰いアメーバの恐怖は身近にあります。
シアトルにいる68歳の女性が、水道水で鼻うがいをしていたことで脳を食べる珍しいアメーバを摂り込んでしまい、亡くなりました。
この件について、感染症国際ジャーナル「International Journal of Infectious Diseases」の新しいケース・スタディーで、このように記述されました。
「この感染症は当初、脳腫瘍として誤診されていました。
疑いのある腫瘍を取り除く手術中、シアトルのスウェディッシュ・メディカル・センター神経外科医の執刀医チャールズ・コブズ医師は、
脳の損傷の程度に驚き、さらなるテストのためサンプルを抽出しました」
(以下略)
※全文はソース元で
引用元: ・【医学】水道水で鼻うがいをしていた女性、脳を食べるアメーバに感染して死亡 購入付属のフィルターで水道をろ過(写真)
続きを読む
Source: 不思議.NET




コメント